各健診メニュー
トップページ > 各健診メニュー
くつろぎの健診スペースでリラックスしてご受診いただける環境をご用意いたします。
定期健康診断
定期健康診断B
身長・体重・BMI・視力・血圧・聴力測定(1,000/4,000Hz)・胸部X線 尿検査(蛋白・糖)・心電図・貧血検査(赤血球数・血色素量)・生化学検査(GOT(AST)・GPT(ALT)・γ-GTP・CRE・eGFR)・脂質検査(HDL-cho・LDL-cho・TG・T-cho・non-HDL) 血糖検査・問診・診察・腹囲測定
料金:11,000円(税込)
生活習慣病健診
生活習慣病健診
身長・体重・BMI・視力・血圧・聴力測定(1,000/4,000Hz)・胸部X線 尿検査(蛋白・糖・潜血・ウロビリノーゲン)・ 心電図 血液算定検査(白血球数・赤血球数・血色素量・ヘマトクリット・MCV・MCH・MCHC・血小板数) 生化学検査(GOT(AST)・GPT(ALT)・γ-GTP・CRE・eGFR・UA)・脂質検査(HDL-cho・LDL-cho・TG・T-cho・non-HDL) 血糖検査(空腹時血糖・HbAlc)・問診・診察・腹囲測定・体脂肪・胃部X線検査・便潜血検査(2回法)
※胃部検査をバリウムからカメラへ変更した場合、差額代として別途費用5,500(税込)がかかります。
料金:28,050円(税込)
住民検査
太田市ドック、各種健診に関しては下記URLを参照下さい。
太田市ドック
http://www.city.ota.gunma.jp/005gyosei/0071-002iryo-kokuho/2015-0414-1714-160.html
太田市健診
http://www.city.ota.gunma.jp/005gyosei/0070-009kenko-dukuri/otona/index.html
その他の検査
CT検査
当院ではCANONメディカルシステムズ社の「Aquilion CX」を使用しております。
CT検査は数十から数百枚の体を輪切りにした画像を作成して医師が診断を行います。レントゲンに比べて病気の発見率があがります。
当院の健診のCTでは胸部CT、腹部CT、内臓脂肪CTを受けることができます。
どの検査も入室から退室まで5分程度で当日検査の申し込みも可能です。
胸部CT
通常の胸部レントゲンに比べて
断面像のため心臓や肋骨に隠れた小さな早期病変を発見できます。肺がんだけでなく、肺気腫や心臓、血管に起こる様々な病気の早期発見が可能です。
こんな方にオススメします
- 喫煙開始年齢が若く、喫煙歴のある人やその家族
- 家族に肺癌の既往がある
- 日常的に咳や血痰などの症状がある
- 日常的に空気の悪い環境でお仕事されている
画像から以下のような疾患が見つかる可能性があります!
肺に関係する疾患
・肺癌 慢性閉塞性肺疾患(COPD)
・アスベスト肺 肺結核 肺炎
心臓・血管に関する疾患
・冠動脈疾患(冠動脈石灰化病変)
心拡大
・胸部大動脈瘤
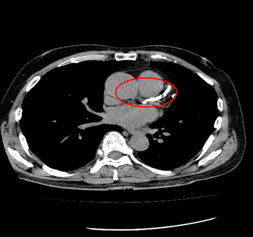
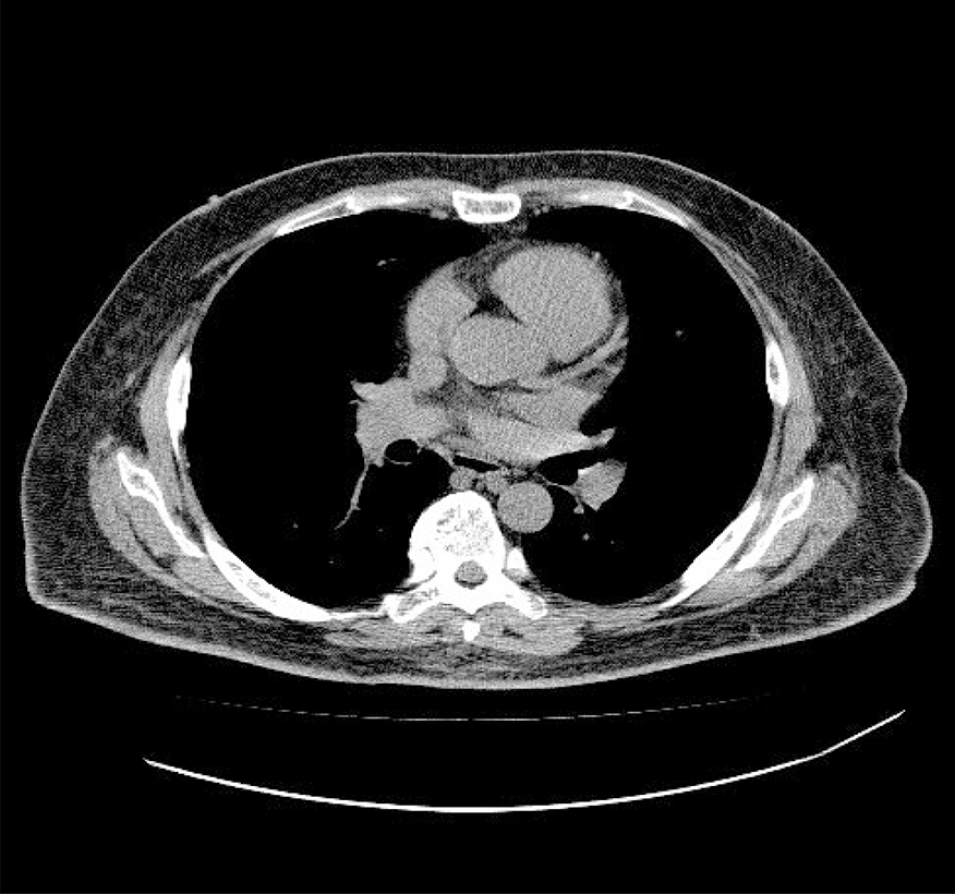
石灰化スコアCT
心臓を栄養する血管である冠動脈の石灰化を測定するCT検査です。
胸部CTより少ない被ばく線量で造影剤を使わず、比較的簡便に心筋梗塞や狭心症のリスクを調べられる検査です。
冠動脈の石灰化は動脈硬化が進行し、血管の壁にカルシウムが沈着した状態です。石灰化が多いほど動脈硬化が進み心筋梗塞や狭心症のリスクが高くなります。
石灰化スコアCTで血管の状態を調べてみましょう。
石灰化が認められない血管
石灰化が認められる血管
こんな方にオススメします
- 高血圧の方(血圧130/80mmHg以上)
- 肥満の方(BMI=25以上の方)
- LDLコレステロールが高い方(160mg/dL以上)
- 喫煙者の方
- 糖尿病疑いの方
- 心臓病の家族歴がある方
- 冠動脈疾患が心配な方
以下の対象者の方は検査対象外になります。
- 妊娠中の方
- バリウム検査後の方
- 心臓にステントが入っている方
- 冠動脈バイパス術既往のある方
以下の対象者の方は対象外ではありませんがおススメはしません。
- 不整脈と診断されたことのある方
- ペースメーカーが埋め込まれている方
※健康診断での石灰化スコアCTは心臓の疾患のリスクを調べるための検査です。心臓に疾患のある方は外来受診又は掛かりつけの医師にご相談下さい
腹部CT
肝臓、胆嚢、膵臓、脾臓、腎臓、副腎、尿管、膀胱、精巣、卵巣等の腹部臓器の観察が可能です。撮影した画像より、尿管結石や胆嚢結石、脂肪肝や腹水等の診断に役立ちます。さらには、膵がんや副腎腫瘍などの診断に関しては腹部超音波検査よりも抽出されやすいため、自覚症状が出る前に早期発見に繋がります。
こんな方にオススメします
- 50歳半ば
- 肥満の方(BMI=25以上の方)
〔BMI=体重(kg)÷身長(m)÷身長(m)〕 - 腹部症状のある方
- 高血圧や高血糖、脂質異常症の方
症例1:尿管結石
腎臓で作られた石が腎臓と膀胱を繋ぐ尿管という管に落ちて腹痛を伴う病気です。
脂肪肝は肝臓に中性脂肪が多く蓄積する状態で放っておくと肝炎から肝硬変、肝がんへ進行することもあります。
画像では正常な肝臓に比べて脂肪肝の方が黒く見えます。
内臓脂肪CT
お臍の位置で画像を数枚撮影して、内臓脂肪と皮下脂肪の面積を測定します。生活習慣病のリスクが高まる内臓脂肪型肥満を判定できます。検査時間が短く撮影もお臍の位置の数枚だけなので被ばくも少ないです。
内臓脂肪が多いと心疾患や脳血管疾患が起こりやすくなります。内臓脂肪型肥満は隠れ肥満とも言われ痩せている人でも内臓に脂肪が蓄積し肥満となることがあります。
CT検査Q&A
赤:内臓脂肪面積
青:皮下脂肪面積
内臓脂肪型肥満の方の画像になります。青の皮下脂肪に比べて赤の内臓脂肪面積の方が広いことがわかります。
MRI検査
装置の紹介
当院では1.5テスラ キヤノンメディカルシステムズExcelart Vantage (MRT-2003)を用いています。
この装置は撮像時の騒音が従来装置に比べ約90%低減されています。また、検査架台の長軸が短縮され解放的でリラックスして検査を受けることができます。

MRI検査とは
CTやX線検査と違い、磁石と電波を使って体の様々な断面像を撮像するので、放射線による被ばくはありません。
造影剤を使用せずに血管を描出することもでき、脳動脈瘤や血管狭窄などの診断に利用されます。また、胆管・膵管・脊髄・尿路なども非造影で検査を行うことができます。
頭部検査においては、特に有用で、CT検査では発見できない急性期の脳梗塞を捉えることができ、早期診断・早期治療を可能にします。この他にも、脊椎・骨軟部・関節・腹部・骨盤腔(子宮・卵巣・前立腺)の病変に優れた描出能があり、様々な疾患の早期発見・診断に有用とされ、研究が進んでいます。
脳血管像(非造影)
脳腫瘍
脳梗塞
MRI検査の流れ
① 検査直前に入室時チェック(磁性体の有無等)
検査前に磁性体の有無をチェックします。検査する部位に応じて更衣をお願いする場合があります。MRIからは大きな磁場が発生しており、持ち込むと故障したり検査に影響を及ぼしたりするものがあり、持ち込めないものは事前に外していただきます。
② 検査室入室~検査セッティング
寝台に寝て検査部位にコイルという検査用器具を装着し、ガントリと呼ばれるトンネルの中に入ります。検査に応じた体位をご説明致します。 検査中、お困りのことがあった際に知らせていただけるようマイクが設置してあります。声によるお知らせが難しい場合、ブザーをお渡しします。
③ 検査開始(撮像)
検査中は体を動かさないでじっとしていてください。 検査中は装置からコンコンコン、ガーガーガーなどという音がします。この音は必要な画像を得るために発生するもので検査中ずっと鳴り続けています。検査中は体に電波を当てているため、暑く感じることや 汗をかくことがあります。 検査時間は部位や内容によっておよそ15〜30分です。造影剤を使用する場合はおよそ30分〜60分です。胸部や腹部の検査のときは、こちらの合図にあわせて呼吸を止めていただく場合があります。
④ 終了
寝台から下り、更衣した場合はお支度を整えて終了になります。 造影検査後は検査後の注意事項もご説明いたします。
MRI検査を受けることができない方
MRI検査中は大変強い磁場/電波の中に身を置くことになります。
このため、以下のような装着金属/機器などでは検査禁忌となる場合があります。
必ず事前に担当医にお申し出下さい。
●心臓ペースメーカー、ICD(除細動器)(※MRI非対応の製品)
●人工内耳(移植蝸牛刺激装置)
●神経刺激装置(深部脳刺激装置、TENS装置)
●骨成長刺激装置
●注入ポンプ等
●磁力により装着する義眼や磁力部分が着脱不能な義歯
●その他、MRIに対応していないもの
検査を受けることができない場合があるもの
以下のような場合、検査を受けることができない場合があるため、必ず事前に担当医にお申し出下さい。
●脳動脈瘤手術による金属クリップやコイル等
※金属の材質をご確認下さい。不明の場合は検査を受けることができません。
●その他、金属が体内にある方
・眼などの外傷に鉄粉(弾丸や鉄片等)が残存する場合
・その他の部位で材質が確認できないもの
・長い年月が経過しており手術をした施設でも材質確認ができない場合
・体内金属の有無が不明な場合
●閉所恐怖症の方
●入れ墨のある方
※顔料に含まれる成分により火傷や変色のおそれがあります。
●妊娠中もしくは妊娠の可能性のある方
※胎児に対するMRI検査の安全性は確立されていません。
※原則、妊娠3ヵ月までの方は検査をお受けになることができません。
その他の注意
●検査室内に補聴器・装飾品・腕時計・磁気カード・電子機器等を持ち込むと
故障/破損/データ損壊が発生します。
●入れ歯・使い捨てカイロ・エレキバン・ベルト等は、火傷や 画像の乱れを引き起こす可能性がありますので
取り外していただきます。※更衣をお願いする場合があります。
●アイライン・マスカラ等は火傷を発症する事例があるため、化粧はなるべくお控え下さい。
※化粧を落としていただく場合もあります。
●湿布薬・ニトロダーム(ニトログリセリン真皮浸透絆創膏)・ ニコチンパッチは
電流が流れる場合がありますので外していただきます。
●カラーコンタクトレンズは目を傷めるおそれがあるため原則、 取り外していただきます。
上記の持ち込めない物やお手荷物は更衣室にしまっていただきます。
アクセサリー等の紛失防止の為、装飾品はなるべく控えてのご来院をお勧めいたします。
マンモグラフィ検査
装置の紹介
当院では2016年5月に乳房撮影装置
MAMMOREX Pe・ru・ru DIGITAL
(キヤノンメディカルシステムズ)を導入しました。
FPDを搭載した装置で、解像力やコントラストが向上し微細な石灰化や腫瘤をより鮮明に描出することが可能です。検査は健診棟の女性専用エリア内に併設されたマンモグラフィ専用の検査室で行っており、安心して検査を受けていただけます。撮影はNPO法人日本乳がん検診精度管理中央機構の認定を受けた女性技師が担当します。
マンモグラフィとは
専用の装置を用いて行う乳房のX線撮影のことです。 マンモグラフィは視触診では分からない早期乳癌の微細な石灰化や、触っても分からない小さなしこりの描出に優れています。
太田市検診のクーポン券をご利用の方
・50歳以上(50歳含む)の方:左右の乳房1方向の撮影(MLO撮影)で計2枚
・50歳未満の方:左右の乳房2方向の撮影(CC撮影、MLO撮影)で計4枚
太田市検診のクーポン券をご利用ではない方
・左右の乳房2方向の撮影(CC撮影、MLO撮影)で計4枚
検査の流れ
検査の事前説明の後、上半身の衣服をすべて脱ぎ乳房撮影を行います。 撮影終了後、その場で着替えをして終了となります。 *入室~検査終了まで10~15分程度です。
圧迫の必要性
厚みのある乳房の中にはたくさんの乳腺や脂肪などが重なって存在しています。
これらを均等に伸ばし組織同士の重なりを分離することで、小さなしこりや石灰化の粒をより見つけやすい画像にすることができます。
*実際に乳房を圧迫する時間は1枚の撮影で数十秒程度です。


画像1枚目:圧迫なし、画像2枚目:圧迫あり
水風船の中に花型のビーズをいれました。
厚みを約半分にしたことで、形がはっきり見えるようになります。
J.M.S(ジャパン・マンモグラフィ・サンデー)
毎年10月の第3日曜日に乳がん検診マンモグラフィ検査が受けられます。 平日忙しくてなかなか検診に行けない女性の方、この機会に是非マンモグラフィ を受けてみませんか?

*詳しくはJ.M.Sホームページへ
http://jms-pinkribbon.com/
*当院へのお問い合わせは、イムス太田中央総合病院健康管理センターまでお願い致します。
TEL: 0276-37-8118
骨密度検査
装置の紹介
当院の骨密度測定装置はALOKAの「ダイクロマスキャン DCS-600EXV」を使用しています。2種類の異なるX線を手首に当て、骨と軟部組織の吸収率の違いから骨密度を測定する前腕骨DXA法を用いています。DXA法は超音波法やMD法と比べて精度が高く、検査時間は約3分と短時間で検査可能です。
骨密度検査とは
骨密度検査は骨の中に含まれるカルシウム量を測定し、骨の強さ(骨密度)を評価する検査です。骨は加齢とともに徐々にもろくなり、わずかな転倒でも骨折を起こしやすくなります。このように骨密度が低下した状態を骨粗しょう症と呼びます。
骨粗しょう症は自覚症状が少なく、骨折して初めて発見されることも少なくありません。
骨密度検査を受け、結果をもとに生活習慣の見直しや必要に応じた治療を行うことで、将来の骨折予防につなげます。骨粗しょう症は早期発見と予防が重要であり、将来の健康維持のためにも定期的な骨密度検査をおすすめします。

検査の流れ
検査時間は約3分程度です。痛みは全くありません。

- ① 腕につけている貴金属等を外し、肘まで腕まくりをします。
- ② 椅子に座り、測定台に非利き手を置きレバーを握ります。
- ③ 30秒程度で測定が完了します。

① 現在の自分の骨密度の値
② 若年成人比較(YAM値)
若年成人(20~44歳の健康な人)の平均値を100%
としたときの現在の自分の骨密度の割合
若年成人比較(YAM値)の数値が
骨粗しょう症の診断基準になります
③ 同年齢比較
同年齢の骨密度の平均値を100%としたときの現在
の自分の骨密度の割合
④ グラフ中の + が現在の自分の骨密度がある領域です。
・青色の範囲 →正常(若年成人平均値の80%以上)
・黄色の範囲 →骨量減少(若年成人平均値の70~80%)
・赤色の範囲 →骨粗しょう症が疑われる(若年成人平均値の70%未満)





