各部署紹介
放射線科
放射線科について
我々診療放射線技師は、診療から予防医学の領域にわたり画像診断関連領域のスペシャリストとして業務に携わっています。
現在の医療環境は日々進化する医療技術に対して、スピード・質・安全を担保できる環境整備が重要となってきます。放射線科では、これら時代のニーズに合ったシステムを構築し、「地域患者の皆様の利益向上と医療の質・安全の確保」をめざし日々努力しています。
安全かつ有用な技術・情報を提供するために、CT・MR・血管撮影などをはじめとする高度医療機器を使用し、高品質な医療技術を確保しています。また、救急医療では当直体制を整備し、24時間体制で二次救急対応できる環境です。一方、高度医療機器を有効機能させるための教育環境・人材育成についての充実も重要となるため各種学会・勉強会等には積極的に参加し、学会発表・各種認定資格取得の推進を図っています。これにより各領域のスペシャリストを育成し患者の皆様に安心して医療を受けていただける様に努めています。検査時間・待ち時間の短縮・被ばく線量の低減、環境整備・ホスピタリティの向上についても日々努力をしています。
イムス太田中央総合病院放射線科では、今後ともチーム医療の一端を担い、診療の質、そして何よりも安全を重視した診療を目指しています。
各種取得認定一覧
|
認定学会等 |
資格名 |
認定者数 |
|---|---|---|
|
日本診療放射線技師会 |
放射線管理士 |
2名 |
|
放射線機器管理士 |
1名 |
|
|
医療画像情報精度管理士 |
2名 |
|
|
画像等手術支援認定診療放射線技師 |
2名 |
|
|
放射線被ばく相談員 |
1名 |
|
|
日本磁気共鳴専門技術者認定機構 |
磁気共鳴専門技術者 |
1名 |
|
日本X線CT専門技師認定機構 |
X線CT認定技師 |
2名 |
|
日本乳がん検診精度管理中央機構 |
マンモグラフィ認定技師 |
4名 |
|
NPO法人乳房健康研究会 |
ピンクリボンアドバイザー |
1名 |
設置機器
- ・一般撮影装置
- ・X線透視装置
- ・乳房X線撮影装置
- ・血管造影撮影装置
- ・64列マルチスライスCT装置
- ・1.5テスラMRI装置
- ・骨密度測定装置
- ・外科用イメージ装置
- ・ポータブル撮影装置
- ・歯科用X線撮影装置
- ・PACS
- ・WS
各検査について(各バナーをクリック)
CT検査
当院ではCANONメディカルシステムズ社の「Aquilion CX」を使用しております。
CT検査は数十から数百枚の体を輪切りにした画像を作成して医師が診断を行います。レントゲンに比べて病気の発見率があがります。
当院の健診のCTでは胸部CT、腹部CT、内臓脂肪CTを受けることができます。
どの検査も入室から退室まで5分程度で当日検査の申し込みも可能です。
通常の胸部レントゲンに比べて
断面像のため心臓や肋骨に隠れた小さな早期病変を発見できます。肺がんだけでなく、肺気腫や心臓、血管に起こる様々な病気の早期発見が可能です。
こんな方にオススメします
- 喫煙開始年齢が若く、喫煙歴のある人やその家族
- 家族に肺癌の既往がある
- 日常的に咳や血痰などの症状がある
- 日常的に空気の悪い環境でお仕事されている
企業様・法人様向け
当院で作成した胸部CTの検査のご提案のチラシになります。
無料ダウンロードが可能ですので社内健診説明にお役立てください。
※著作権はイムス太田中央総合病院に帰属します。
不正利用や健診推進以外の目的での使用はご遠慮下さい。
画像から以下のような疾患が見つかる可能性があります!
肺に関係する疾患
・肺癌 慢性閉塞性肺疾患(COPD)
・アスベスト肺 肺結核 肺炎
心臓・血管に関する疾患
・冠動脈疾患(冠動脈石灰化病変)
心拡大
・胸部大動脈瘤
心臓を栄養する血管である冠動脈の石灰化を測定するCT検査です。
胸部CTより少ない被ばく線量で造影剤を使わず、比較的簡便に心筋梗塞や狭心症のリスクを調べられる検査です。
冠動脈の石灰化は動脈硬化が進行し、血管の壁にカルシウムが沈着した状態です。石灰化が多いほど動脈硬化が進み心筋梗塞や狭心症のリスクが高くなります。
石灰化スコアCTで血管の状態を調べてみましょう。
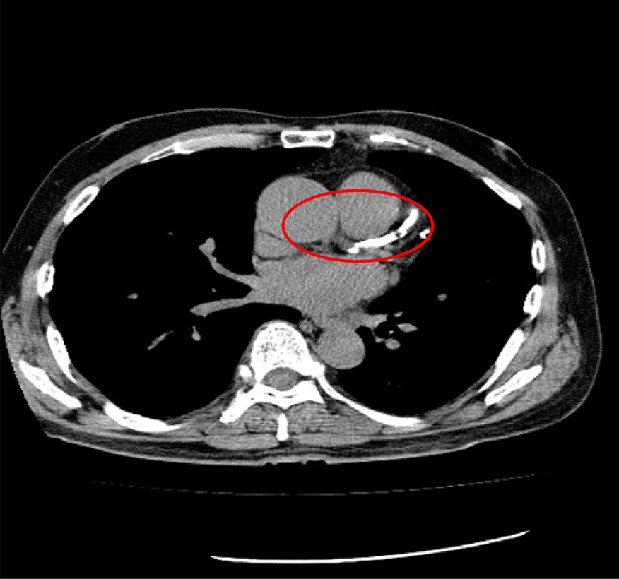
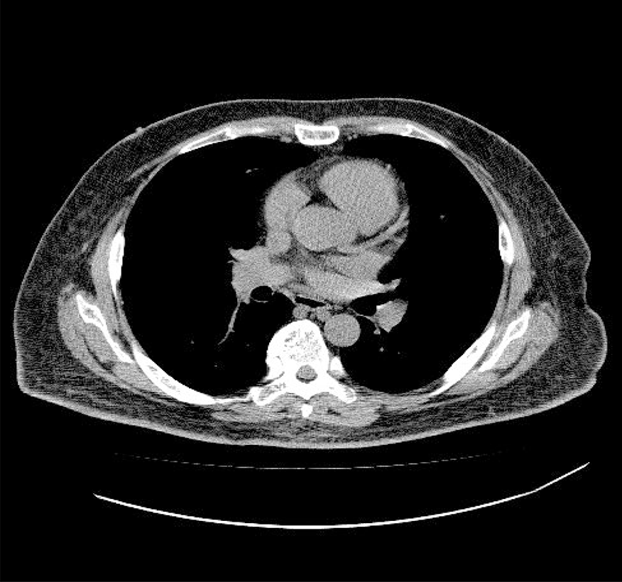
石灰化が認められない血管
石灰化が認められる血管
こんな方にオススメします
- ・高血圧の方(血圧130/80mmHg以上)
- ・肥満の方(BMI=25以上の方)
- ・LDLコレステロールが高い方(160mg/dL以上)
- ・喫煙者の方
- ・糖尿病疑いの方
- ・心臓病の家族歴がある方
- ・冠動脈疾患が心配な方
以下の対象者の方は検査対象外になります。
- ・妊娠中の方
- ・バリウム検査後の方
- ・心臓にステントが入っている方
- ・冠動脈バイパス術既往のある方
以下の対象者の方は対象外ではありませんがおススメはしません。
- ・不整脈と診断されたことのある方
- ・ペースメーカーが埋め込まれている方
※健康診断での石灰化スコアCTは心臓の疾患のリスクを調べるための検査です。心臓に疾患のある方は外来受診又は掛かりつけの医師にご相談下さい
肝臓、胆嚢、膵臓、脾臓、腎臓、副腎、尿管、膀胱、精巣、卵巣等の腹部臓器の観察が可能です。撮影した画像より、尿管結石や胆嚢結石、脂肪肝や腹水等の診断に役立ちます。さらには、膵がんや副腎腫瘍などの診断に関しては腹部超音波検査よりも抽出されやすいため、自覚症状が出る前に早期発見に繋がります。
こんな方にオススメします
- 50歳半ば
- 肥満の方(BMI=25以上の方)
〔BMI=体重(kg)÷身長(m)÷身長(m)〕 - 腹部症状のある方
- 高血圧や高血糖、脂質異常症の方
症例1:尿管結石
腎臓で作られた石が腎臓と膀胱を繋ぐ尿管という管に落ちて腹痛を伴う病気です。
症例2:脂肪肝
脂肪肝は肝臓に中性脂肪が多く蓄積する状態で放っておくと肝炎から肝硬変、肝がんへ進行することもあります。
画像では正常な肝臓に比べて脂肪肝の方が黒く見えます。
お臍の位置で画像を数枚撮影して、内臓脂肪と皮下脂肪の面積を測定します。生活習慣病のリスクが高まる内臓脂肪型肥満を判定できます。検査時間が短く撮影もお臍の位置の数枚だけなので被ばくも少ないです。
内臓脂肪が多いと心疾患や脳血管疾患が起こりやすくなります。内臓脂肪型肥満は隠れ肥満とも言われ痩せている人でも内臓に脂肪が蓄積し肥満となることがあります。
CT検査Q&A
赤:内臓脂肪面積
青:皮下脂肪面積
内臓脂肪型肥満の方の画像になります。青の皮下脂肪に比べて赤の内臓脂肪面積の方が広いことがわかります。
MRI検査
当院では1.5テスラ キヤノンメディカルシステムズExcelart Vantage
(MRT-2003)を用いています。
この装置は撮像時の騒音が従来装置に比べ約90%低減されています。また、検査架台の長軸が短縮され解放的でリラックスして検査を受けることができます。
キヤノンメディカルスシテムズ Vantage Fortian
2023年3月より、AI(ディープラーニング)応用技術を搭載した装置を導入致しました。
短時間かつ高画質で、様々な診断ニーズに柔軟に対応できるMRIシステムです。
従来の静音技術と新たに導入したシステムにより、静かで開放感のある、患者様にも優しい検査環境です。
CTやX線検査と違い、磁石と電波を使って体の様々な断面像を撮像するので、放射線による被ばくはありません。
造影剤を使用せずに血管を描出することもでき、脳動脈瘤や血管狭窄などの診断に利用されます。また、胆管・膵管・脊髄・尿路なども非造影で検査を行うことができます。
頭部検査においては、特に有用で、CT検査では発見できない急性期の脳梗塞を捉えることができ、早期診断・早期治療を可能にします。この他にも、脊椎・骨軟部・関節・腹部・骨盤腔(子宮・卵巣・前立腺)の病変に優れた描出能があり、様々な疾患の早期発見・診断に有用とされ、研究が進んでいます。
全身DWI
頭部
脳血管像(非造影)
膝関節
肩関節
胆管・膵管(非造影)
腹部
乳房DWI
① 検査直前に入室時チェック(磁性体の有無等)
検査前に磁性体の有無をチェックします。検査する部位に応じて更衣をお願いする場合があります。MRIからは大きな磁場が発生しており、持ち込むと故障したり検査に影響を及ぼしたりするものがあり、持ち込めないものは事前に外していただきます。
② 検査室入室~検査セッティング
寝台に寝て検査部位にコイルという検査用器具を装着し、ガントリと呼ばれるトンネルの中に入ります。検査に応じた体位をご説明致します。 検査中、お困りのことがあった際に知らせていただけるようマイクが設置してあります。声によるお知らせが難しい場合、ブザーをお渡しします。
③ 検査開始(撮像)
検査中は体を動かさないでじっとしていてください。
検査中は装置からコンコンコン、ガーガーガーなどという音がします。この音は必要な画像を得るために発生するもので検査中ずっと鳴り続けています。検査中は体に電波を当てているため、暑く感じることや 汗をかくことがあります。
検査時間は部位や内容によっておよそ15〜30分です。造影剤を使用する場合はおよそ30分〜60分です。胸部や腹部の検査のときは、こちらの合図にあわせて呼吸を止めていただく場合があります。
④ 終了
寝台から下り、更衣した場合はお支度を整えて終了になります。
造影検査後は検査後の注意事項もご説明いたします。
MRI検査中は大変強い磁場/電波の中に身を置くことになります。
このため、以下のような装着金属/機器などでは検査禁忌となる場合があります。
必ず事前に担当医にお申し出下さい。
- ●心臓ペースメーカー、ICD(除細動器)(※MRI非対応の製品)
- ●人工内耳(移植蝸牛刺激装置)
- ●神経刺激装置(深部脳刺激装置、TENS装置)
- ●骨成長刺激装置
- ●注入ポンプ等
- ●磁力により装着する義眼や磁力部分が着脱不能な義歯
- ●その他、MRIに対応していないもの
検査を受けることができない場合があるもの
以下のような場合、検査を受けることができない場合があるため、必ず事前に担当医にお申し出下さい。
- ●脳動脈瘤手術による金属クリップやコイル等
※金属の材質をご確認下さい。不明の場合は検査を受けることができません。 - ●その他、金属が体内にある方
・眼などの外傷に鉄粉(弾丸や鉄片等)が残存する場合
・その他の部位で材質が確認できないもの
・長い年月が経過しており手術をした施設でも材質確認ができない場合
・体内金属の有無が不明な場合 - ●閉所恐怖症の方
- ●入れ墨のある方
※顔料に含まれる成分により火傷や変色のおそれがあります。 - ●妊娠中もしくは妊娠の可能性のある方
※胎児に対するMRI検査の安全性は確立されていません。
※原則、妊娠3ヵ月までの方は検査をお受けになることができません。
- ●検査室内に補聴器・装飾品・腕時計・磁気カード・電子機器等を持ち込むと
故障/破損/データ損壊が発生します。 -
●入れ歯・使い捨てカイロ・エレキバン・ベルト等は、火傷や
画像の乱れを引き起こす可能性がありますので
取り外していただきます。※更衣をお願いする場合があります。 -
●アイライン・マスカラ等は火傷を発症する事例があるため、化粧はなるべくお控え下さい。
※化粧を落としていただく場合もあります。 -
●湿布薬・ニトロダーム(ニトログリセリン真皮浸透絆創膏)・ニコチンパッチは
電流が流れる場合がありますので外していただきます。 - ●カラーコンタクトレンズは目を傷めるおそれがあるため原則、取り外していただきます。
上記の持ち込めない物やお手荷物は更衣室にしまっていただきます。
アクセサリー等の紛失防止の為、装飾品はなるべく控えてのご来院をお勧めいたします。
- ●気管支ぜんそくと診断された方。
- ●腎不全・腎機能低下・透析をしている方。
- ●MRI造影剤で副作用が出たことがある方。
- ●妊娠中、授乳中の方。
ご不明な点がございましたら、事前に担当スタッフにお問い合わせ下さい。
血管撮影検査
当院ではPHILIPS AlluraClarity FD 10/10 バイプレーンシステムを用いています。
この装置は同時に2方向からの撮像が可能で、造影剤の量を削減、検査時間の短縮など患者様の負担を軽減することができます。
血管撮影装置では血管造影(アンギオ検査)を行います。 血管造影とは手首や足の付け根の動脈からカテーテルと呼ばれる細い管を血管の中へ挿入し、目的の位置(血管)まで移動させて血管を造影し、治療を行う検査のことです。
主に循環器領域の冠動脈形成術(PCI)、冠動脈造影検査(CAG)、ペースメーカ植え込み術などが行われています。
また外科領域の肝動脈化学塞栓術(TACE)も行っています。PCIとは狭窄した血管や閉塞した血管を、バルーンカテーテルやステントと呼ばれる道具を用いて、血流を回復させる治療法です。

治療前 治療後
マンモグラフィ検査
当院では2016年5月に乳房撮影装置
MAMMOREX Pe・ru・ru DIGITAL
(キヤノンメディカルシステムズ)を導入しました。
FPDを搭載した装置で、解像力やコントラストが向上し微細な石灰化や腫瘤をより鮮明に描出することが可能です。検査は健診棟の女性専用エリア内に併設されたマンモグラフィ専用の検査室で行っており、安心して検査を受けていただけます。撮影はNPO法人日本乳がん検診精度管理中央機構の認定を受けた女性技師が担当します。
専用の装置を用いて行う乳房のX線撮影のことです。 マンモグラフィは視触診では分からない早期乳癌の微細な石灰化や、触っても分からない小さなしこりの描出に優れています。

*当院では左右の乳房それぞれで2方向の撮影(CC撮影・MLO撮影)を計4枚行います。
*2方向から撮影を行うことで乳房全体をまんべんなく写すことができます。
検査の事前説明の後、上半身の衣服をすべて脱ぎ乳房撮影(計4枚)を行います。
撮影終了後、その場で着替えをして終了となります。
*入室~検査終了まで10~15分程度です。
厚みのある乳房の中にはたくさんの乳腺や脂肪などが重なって存在しています。
これらを均等に伸ばし組織同士の重なりを分離することで、小さなしこりや石灰化の粒をより見つけやすい画像にすることができます。
*実際に乳房を圧迫する時間は1枚の撮影で数十秒程度です。


画像1枚目:圧迫なし、画像2枚目:圧迫あり
水風船の中に花型のビーズをいれました。
厚みを約半分にしたことで、形がはっきり見えるようになります。
毎年10月の第3日曜日に乳がん検診マンモグラフィ検査が受けられます。 平日忙しくてなかなか検診に行けない女性の方、この機会に是非マンモグラフィ を受けてみませんか?
*詳しくはJ.M.Sホームページへ
http://jms-pinkribbon.com/
*当院へのお問い合わせは、イムス太田中央総合病院健康管理センターまでお願い致します。
TEL: 0276-37-8118
骨密度
腰椎と股関節にて骨密度の測定を行うため、
より正確に骨密度の測定ができます。
再度検査する際は以前の結果があるため再現性良く検査が受けられます。
横になって検査が出来るので手足の悪い人も安心して検査が受けられます。
検査時間は腰椎と股関節を合わせても5分程度で被ばく線量も少なく安全です。
骨粗鬆症は年齢と共に骨の強度が弱まり骨折しやすくなる病気です。
骨密度検査は骨粗鬆症を診断する上で重要な検査です。
職員からの声
◆ 2025年入職
当院は病院と健診業務の両方を行っています。外来や病棟の患者さんの撮影だけでなく、定期健診やバスでの巡回健診にも携わることができるのが魅力です。
グループ企業ならではの学会が定期的にあり、自分が所属している病院以外からも学ぶ機会があります。また、1年目から3年目までは合同研修会があり技術面から接遇対応なども学べ、グループ内の同期と交流を深めることも出来ます。
入職してから分からないことも多いですが、先輩方は優しく質問もしやすい環境です。
現在は患者さんに寄り添って正確な検査を行えるように日々勉強中です。
職員の声 バックナンバー
2022年
◆2022年入職
私が当院に入職した理由は、健診と病院勤務の両方に興味があったからです。
また、IMSグループ全体での研修があるため、働くうえで必要な知識や技術を学ぶことや、グループ内で交流することもできます。
働き始めの頃は技術や接遇でわからないこともありましたが、先輩方のサポートや接遇研修もあり、現在では患者様の気持ちを第一に考えて検査に臨めるようになりました。
先輩方は優しく、困ったことや不安なことがあったら相談できる環境です。
ぜひ一度病院見学にお越しください。











