埼玉県三郷市にある総合病院です。
足の静脈には、皮膚のすぐ下を通る「表在静脈」と、筋肉の深い部分を通る「深部静脈」があります。表在静脈は、足の付け根やひざ裏などで深部静脈に合流し、心臓に向かって血液を戻す働きをしています。
この血流の逆流を防ぐのが「静脈弁」です。しかし、表在静脈の静脈弁が壊れると、血液が逆流し、血管にこぶ(瘤)ができてしまいます。これが「下肢静脈瘤」です。
立ち仕事が多い方や妊娠・出産を経験した女性に多く見られます。症状には、足のだるさ・むくみ・かゆみ・こむら返りなどがあり、進行すると色素沈着や皮膚炎、さらには皮膚潰瘍に至ることもあります。

網目状静脈瘤

伏在型静脈瘤

潰瘍、色素沈着
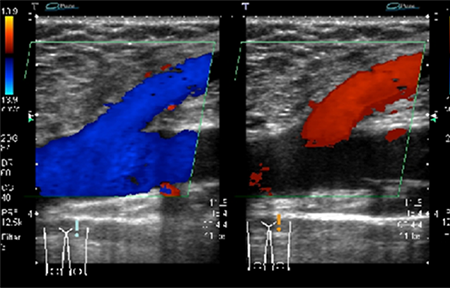
当院では、超音波(エコー)検査を中心に診断を行っています。エコー検査は無痛で、妊婦健診でも用いられる安全な検査方法です。
必要に応じて、CT検査も実施可能です。クリニックでは難しい複雑な病変の把握も可能で、より的確な治療計画につなげることができます。(造影剤は使用していません)

エコー検査

エコー検査の画像

CT検査の画像
カテーテルによる血管内治療には、血管内焼灼術と血管内塞栓術があり、共に保険診療での治療が可能です。
静脈内にファイバーを挿入後、局所麻酔(TLA麻酔)を行い、静脈の内壁を焼灼して閉塞させる方法です。当院では「ラジオ波(高周波)」による血管内焼灼術を採用しています。
ジ従来の手術と比べて身体への負担が少なく、手術時間は約30分、日帰り治療が可能です。
新しい治療法として、Venaseal(ベナシール)という接着剤を血管内に注入して静脈を閉塞させる方法も行っています。
この治療は、ラジオ波と異なりTLA麻酔や術後の弾性ストッキング着用が不要で、さらに低侵襲な方法です。アレルギー体質の方には使用できない場合がありますが、患者さんの負担が少ないことが特長です。
「手術はちょっと…」という方も、弾性ストッキングなどの圧迫療法や生活指導で症状が改善する場合があります。
お気軽にご相談ください。
| 資格 |
心臓血管外科専門医認定証 腹部ステントグラフト実施医・指導医 胸部ステントグラフト実施医・指導医 下肢静脈瘤に対する血管内焼灼術の実施基準による実施医・指導医 循環器専門医 日本血管外科学会認定血管内治療医 外科専門医認定証 |
|---|---|
| 一言 |
高血圧・脂質異常症・糖尿病・肥満などの生活習慣病が原因で、様々な病気を発症する危険があります。その中でも動脈硬化症などの血管の病気は、命を直接脅かすものや、生活の質を悪化させてしまう危険性があるため、早期発見・早期治療が望ましいと考えられます。 当科では、検査結果だけではなく、患者さんの全身状態を総合的に判断し、生活の質の向上にむけて、患者さん一人ひとりにあった治療を行うように心がけています。 とくに血管外科の対象となる患者さんは高齢であることが多いため、低侵襲治療と呼ばれる“患者さんの身体にかかる負担が少ない治療”を積極的に選択しています。 腹部大動脈瘤とは、腹部の大動脈や腸骨動脈が膨らんでくる疾患です。 基本的には痛み等の症状は無く、無症状で経過することが多い病気です。 そのため、検診などで偶然発見され、当科外来を受診される方がほとんどです。 しかし、腹部大動脈瘤や腸骨動脈瘤は、破裂による突然死を起こす危険性がある病気です。 薬で治すことができず手術が必要になります。 腹部大動脈瘤や末梢動脈瘤に対しては、瘤を切除して人工血管を移植する人工血管置換術・ステントグラフト内挿術などの治療により、破裂を未然に防ぐ必要があります。 当科では特に低侵襲のステントグラフト治療を積極的に行なっております。 下肢閉塞性動脈硬化症とは、動脈硬化症が原因となって下肢の動脈が細くなったり詰まったりする病気です。それが原因で下肢の血流が減少した状態になります。 症状は、軽いものでは足先の冷えを感じる程度ですが、進行してくると歩行時やさらには安静時でも痛みを感じるようになり、歩行困難な状況に陥ることもあります。そして最悪の場合は壊死(腐る)に至り、下肢の切断が必要になる危険性があります。 当院では循環器内科と連携して手術・カテーテル治療両方でのアプローチを行なっています。 下肢静脈瘤や内シャント手術にも取り組んでいます。下肢静脈瘤の治療はグルー治療、ラジオ波治療、硬化療法などの治療方法から患者様の状態に応じて選択しております。透析患者様に必要な内シャントに対する手術や血管内治療にも取り組み、地域の透析医療機関と連携しながら円滑な透析ができるように対応しています。日帰り手術も積極的に取り組んでおりますのでお気軽にご相談ください。 |
※表は横にスクロールします
| 診察室 | 月 | 火 | 水 | 木 | 金 | 土 | |
|---|---|---|---|---|---|---|---|
| 午前 | 19 | 稲村 順二 | - | - | 稲村 順二 ※ | - | 稲村 順二 ※ 下肢静脈瘤外来 |
| 午後 | - | - | - | - | - | - | - |