埼玉県三郷市にある総合病院です。

IMSグループ医療法人三愛会 三愛会総合病院

048-958-3111
看護師採用 イムス三郷クリニック 三愛会ロイヤル訪問看護ステーション
048-958-311124時間365日対応
看護師採用
イムス三郷クリニック
三愛会ロイヤル訪問看護ステーション

診療科目紹介

循環器内科

循環器内科では、食生活の欧米化に伴って増加した虚血性心疾患や下肢閉塞性動脈硬化症、高齢者に多い心不全、不整脈、高血圧といった疾患を扱っております。
2023年4月から循環器疾患におけるカテーテル検査、治療が行うことができる体制となりました。
狭心症や心筋梗塞といった虚血性心疾患や、下肢動脈狭窄・閉塞といった下肢閉塞性動脈硬化症に対してカテーテルを用いてバルーン拡張やステント留置などを行い、血管を治すことにより症状の改善を目指しています。
胸が痛い、ドキドキする、息切れがする、足が浮腫む、歩くと足が痛むなどの症状が気になる方はお気軽に受診してください。その他、血圧が気になる、コレステロールが気になるなど生活習慣病の相談も随時受け付けております。

こんな症状ありませんか?

  • 胸の痛み
  • 息切れ
  • ドキドキする
  • 足がむくむ
  • 足が痛い、しびれる、冷たい
  • 血圧が高い、低い

こんな症状のある方も受診をお勧めします!

  • 突然の深夜から早朝に起こる胸の痛み
  • 過去に循環内科を受診したが原因不明と言われ、診断がつかなかった胸の痛み
  • 10代~40代で継続する胸の痛みがあり不安

症例一覧

  • 狭心症
  • 心筋梗塞
  • 虚血性非閉塞性冠疾患(INOCA)
  • 下肢閉塞性動脈硬化症含む末梢血管治療
  • 不整脈(心房細動、発作性上室性頻拍、房室ブロック、洞不全症候群など)
  • 弁膜症
  • うっ血性心不全
  • 高血圧
  • 低血圧
  • 心原性ショック
  • 心肺停止(CPA)

検査項目

  • 心エコー
  • 24時間心電図検査
  • 7日間心電図検査
  • 心臓カテーテル検査
  • 末梢血管カテーテル検査
  • 運動負荷心電図
  • 24時間血圧
  • INOCA(イノカ)診断
    → アセチルコリン負荷試験
    → CMD検査
  • 冠動脈CT
循環器内科

図はアボット社提供。
アボット社の許可を得て掲載しております。

当院循環器内科の特徴

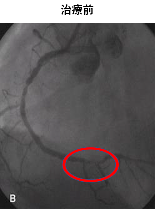
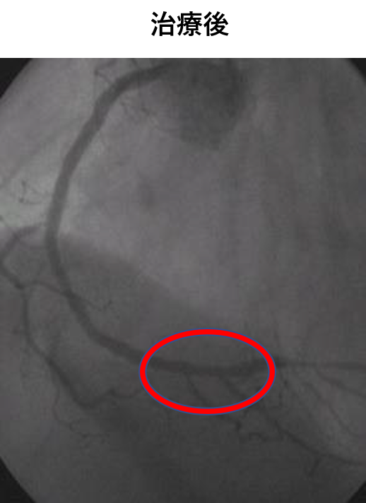
経皮的冠動脈インターベンション
狭心症や心筋梗塞などの虚血性心疾患は、心臓の筋肉に必要な栄養や酸素を運ぶ血管(冠動脈)が細くなったり詰まったりして、心臓に十分な血液が送られなくなることによって起こります。

このため治療は、血管の狭くなった部分を広げて、血液のスムーズな流れを取り戻すことが目的となります。
方法は大きく分けて
・薬物治療
・経皮的冠動脈インターベンション(PCI)
・冠動脈バイパス手術(CABG)
の3つがあります。

経皮的冠動脈インターベンション(PCI)は、脚の付け根や腕、手首などの血管から、カテーテルという医療用の細く柔らかいチューブを差し込んで、冠動脈の狭くなった部分を治療する方法です。

また、冠攣縮性狭心症の診断や、これまで診断がつかなかった微小循環障害による狭心症においても評価が可能です。
高度石灰化病変を伴う症例へのDebulkingデバイスを使用し、治療を行います。
急性冠症候群においては、救急搬送から再還流まで緊急対応が可能な体制を整えています。

お薬で症状や心電図の改善がない、または乏しい場合に心臓カテーテル検査を行い、高度な狭窄があれば、治療を行うことが一般的です。

循環器内科 循環器内科

急性冠症候群(ACS)とは・・・

急性冠症候群(ACS)は、冠動脈の血管壁に蓄積したコレステロール等の脂肪からなる粥腫(プラーク)の破綻とそれに伴う血栓形成により冠動脈内腔が急速に狭窄(不安定狭心症)、閉塞(急性心筋梗塞)し、心筋が虚血(酸素不足)、壊死(無酸素)に陥る状態で、命に危険を及ぼす疾患です。

症状
・運動時や労作時ではなく、安静時に胸の痛みを感じる
・胸の痛みを感じる時間が数分~20分程度と長く、繰り返し痛みが現れる
・経験したことのない胸の痛み、圧迫感、締めつけ感、胸やけ
・胸だけでなく、歯や下顎や頸部、肩、左腕などにも痛みを感じる

急性心筋梗塞(AMI)は迅速な診断と治療が求められる緊急疾患です。
治療手順の一般的な流れは

  1. 迅速な診断と安定化
    1. 患者の症状(胸痛、呼吸困難など)を評価し、心電図(ECG)や血液検査で梗塞を確認します。
    2. 酸素投与、静脈ラインの確保、モニタリング機器の装着を行います
  2. 初期治療
    血栓を溶かす薬(血栓溶解療法)を投与するか、抗凝固剤(ヘパリンなど)を投与します。
  1. 冠動脈の再開通
    1. 緊急冠動脈形成術(PCI):
      バルーンカテーテルやステントを使用して閉塞部位を広げます。
      冠動脈バイパス術が選択されることもあります(外科的アプローチ)。
  2. 合併症管理
    1. 不整脈やショックなどの合併症に対応します。
    2. 必要に応じてペースメーカーや除細動器を使用します。
  3. 回復期管理
    1. 薬物療法(例えば、抗血小板薬、β遮断薬、スタチンなど)を継続します。
    2. リハビリや生活習慣の改善(禁煙、食事管理など)を指導します。

治療は医療チームが迅速かつ正確に行い、患者の状態に応じて柔軟に対応いたします。

当院の緊急カテーテル手術体制について・・・

循環器内科

①ER到着

循環器内科

②諸検査の実施

循環器内科

③カテーテル室入室

循環器内科

④治療開始

補助循環(ECMO)

当院では、急性心筋梗塞による心肺停止症例や、心室細動・肺塞栓症による心肺停止症例によっては経皮的人工心肺(ECMO)導入を行なっています。

循環器内科

大動脈内バルーンパンピング法(IABP)

心臓の働きを助ける補助循環法の一種です。
急性心筋梗塞などの重症冠動脈疾患や心不全症例に対して、心臓に近い大動脈に留置し、心臓の動きに合わせてバルーンを拡張・収縮させることで、血圧を上昇させ心臓の働きを補助します。

循環器内科

ペースメーカー植え込み術

ペースメーカーが必要になる不整脈のおもな病気は徐脈を来す状態で、1分間の脈拍数が30代になったり、5秒前後心臓が止まったりすると、運動能力が落ちて息切れが起こったり、脳に必要な血液量を送れなくなり、意識喪失に至るケースもあります。

循環器内科

冠動脈疾患とは

心筋(心臓を動かす筋肉)に酸素と栄養を運ぶために、心臓を取り巻いている3本の血管を冠動脈と呼びます。心臓の周りを冠のような形で覆っているため、このような名前が付きました。 さらに冠動脈の奥深くには、心臓の血管の95%を占めると言われている微小冠動脈という細い血管が張り巡らされ、心筋のすみずみまで血液を供給しています。
冠動脈疾患は、冠動脈に異常があり、血液が心筋に十分に行き渡らず、胸痛などが起こる病気です。

循環器内科

図はアボット社提供。
アボット社の許可を得て掲載しております。

冠動脈疾患には、血が固まり急に冠動脈が閉塞してしまう心筋梗塞などのACS(急性冠症候群)と、運動時に胸痛が起こるといったようなCCS(慢性冠症候群)があります。
その中でもCCSには3つの原因があり、各々が重複していることがあります。

CCS(慢性冠症候群)の3つの原因

①太い冠動脈の狭窄・閉塞
高血圧などの生活習慣病、運動不足などで動脈硬化が
進んだ結果、太い冠動脈の中が狭くなっています。

②太い冠動脈のけいれん
冠動脈が一時的に過剰に収縮しています。

③冠微小循環障害(CMD)
枝分かれした先の細い部分である微小冠動脈の異常で起こります。
※②と③は、通常行われているカテーテル検査では、一見正常に見えるため、 INOCA(イノカ:非閉塞性冠動脈疾患)と呼ばれています。

循環器内科

図はアボット社提供。
アボット社の許可を得て掲載しております。

INOCAの治療は、基本的に食事管理や適度な運動などの生活習慣の改善が重要です。

循環器内科

図はアボット社提供。
アボット社の許可を得て掲載しております。

CMD診断は、今まで原因不明とされてきた胸の痛みが、冠微小循環の障害に起因しているか否かを判断する診断法です。 CMD診断の結果に基づいて、CMD陽性と診断された際には、カテーテル治療の可否に関わらず、生活習慣の改善など、心疾患のリスクを低減するための注意が必要です。 肥満を防止するために食事量や体重をコントロールし、禁煙に努め、できるだけストレスをためないように心がけましょう。 また、糖尿病や高血圧、脂質異常症(高脂血症)、痛風といった病気を持っている方は、生活習慣の改善や内服治療の順守により、それらの病気をきちんとコントロールしていきましょう。

循環器内科

図はアボット社提供。
アボット社の許可を得て掲載しております。

末梢血管治療 について

こんな症状ありませんか?

  • 歩くと足のしびれやふくらはぎに痛みがある。
  • 歩行時に足に痛みがでるが、休憩すると足の症状はなくなり、また歩くことができる。
  • 足のだるさや冷えを感じる。
  • 足や指の傷が治りにくい。

末梢血管治療は自覚症状によって治療の方針が異なります。

自覚症状がほとんどない場合

禁煙、高血圧や糖尿病、脂質異常症の治療をしっかり行います。

軽度の場合(歩行が可能、安静時は痛みがない)

血流を改善する内服薬や運動療法を中心に行います。

中度-重度の場合

血管の狭くなった場所や病変の長さに応じてカテーテルを用いて血管を風船で広げたり、ステントという金属の筒を入れる手術や人工血管でのバイパス術を行うことがあります。また安静時にも痛みがあったり、足の傷が進行している場合は前述の血行再建術を積極的に検討します。

NCDについて

担当医師

中村 日出彦 (なかむら ひでひこ)

専門 循環器内科
役職 循環器内科部長
資格 日本内科学会 認定内科医
日本循環器学会 循環器専門医
CVIT認定医
所属学会 日本内科学会
日本循環器学会
日本心血管インターベンション治療学会
日本不整脈心電学会
一言 主に心臓の病気や足の血管の病気などに対して、カテーテルを用いた治療を行っています。 胸が痛い・ドキドキする・息切れがするなど、心臓の病気が気になる方はお気軽にご相談ください。 その他、血圧が気になる・コレステロールが気になるなど、生活習慣病の相談も随時受け付けております。
よろしくお願いいたします。

内山 隆史 (うちやま たかし)

専門 循環器内科
役職 心臓カテーテル室長
資格 日本循環器学会専門医
日本内科学会 総合内科専門医 認定内科医
日本心血管インターベンション治療学会 専門医
日本心臓リハビリテーション学会 心臓リハビリテーション指導士
日本不整脈学会 植え込み型除細動器 植え込み許可医
日本医師会 認定産業医
Spectranetics laser Coronary Traing修了
Daimondback360R
coronaryOrbital Atehrectomy system physician certification
ゴアバイアバーン ステントグラフト ワークショップ修了
IN.PACTAdmiral DCB 実施基準教育プログラム修了
所属学会 日本心血管インターベンション治療学会
日本循環器学会
日本心臓リハビリテーション学会
日本不整脈学会
日本内科学会
日本心血管画像動態学会
日本集中治療学会
日本心エコー図学会
一言 心臓病が発する危険信号を見逃さないでください。 胸が痛い・息が切れる・動悸がするという症状を感じたら心臓病の可能性があります。
このような症状を自覚したら、お早めに循環器内科を受診してください。
疑われる病気には、虚血性心疾患(狭心症・心筋梗塞)・心不全・不整脈などがあります。 これらの病気は速やかな診断と治療が必要な病気です。
それ以外のことでも、心臓が気になるようでしたら当科を受診していただければと思います。

菊池 優太 (きくち ゆうた)

専門 循環器内科
資格 日本内科学会内科専門医
日本心血管インターベンション治療学会認定医
所属学会 日本心血管インターベンション治療学会
日本循環器学会
日本内科学会
日本集中治療医学会
日本救急医学会
一言 当院に入職して2年が経過致しました。 主に虚血性心疾患を始めとする循環器疾患に対し、最重症から軽症に関わらず、患者様、ご家族様へより良い医療を、より良い予後をお渡しできるよう日々努めて参りました。 これからも患者様ファーストの医療を心掛けながら日々邁進して参ります。よろしくお願い致します。

小松 孝昭 (こまつ たかあき)

専門 循環器内科
資格 日本内科学会認定医
日本循環器学会専門医
日本心血管インターベンション治療学会名誉専門医
Spectranetics laser Coronary Traing修了
Daimondback360R coronary Orbital Atehrectomy system physician certification
ゴアバイアバーン ステントグラフト ワークショップ修了
IN.PACTAdmiral DCB 実施基準教育プログラム修了
所属学会 日本内科学会
日本循環器学会
日本心血管インターベンション治療学会
日本心臓病学会
日本禁煙学会
一言 狭心症や心筋梗塞などのカテーテル検査・治療を主に行っておりますが、動悸やむくみなど気になる際もご相談ください。丁寧でわかりやすい診療を心がけております。よろしくお願いいたします。

外来診療表

※表は横にスクロールします

午前 小松 孝昭 内山 隆史 堀 裕一 中村 日出彦 嶋田 怜子 ※ 担当医
午後 小松 孝昭 菊池 優太新患16:00まで 中村 日出彦 内山 隆史 ※ 嶋田 怜子 -
  • 土曜 第1.5 中村、第3 小松、第2.4 土方
  • 嶋田 第3週 15:00~ ペースメーカー外来
  • 内山 医師 最終外来日:3/26(木)午後
  • 菊池 医師 最終外来日:3/17(火)午後

診療科目一覧

外来について

入院について

小児科
オンライン診療
外来担当表・
時間外・休日予定表
\LINEで予約/
健康診断・人間ドック